أكثر الكلمات انتشاراً

لم يتم العثور على نتائج البحث

إعلان

طبيبة تحذر من سرطان تجويف الفم: هذه أعراضه

كتب : الكونسلتو

10:49 م 18/12/2023 تعديل في 19/12/2023
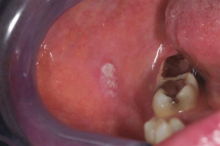
سرطان تجويف الفم

سرطان تجويف الفم

تابعنا على

يعتبر سرطان الغشاء المخاطي لتجويف الفم من الأمراض التي يصعب اكتشافها مبكرًا، لأن أعراضه عادةً لا تظهر في المراحل الأولية، حسبما ذكرت طبيبة الأسنان، إيريكا سوتنيكوفا.

وأضافت إيريكا أن سرطان الغشاء المخاطي لتجويف الفم يظهر على شكل عقد أو تقرحات، تتضخم وتصبح مثيرة للألم مع تطور المرض.

اقرأ أيضًا: أعراض سرطان الفم- 8 علامات أولية لا تتجاهلها

وأوضحت أن أعراض سرطان تجويف الفم الرئيسية تشمل:

- جفاف الفم.

- رائحة الفم الكريهة.

- تضخم الغدد الليمفاوية في الرقبة.

قد يهمك: هل تشير بقع اللسان إلى الإصابة بسرطان الفم؟

وكشفت أن هناك أسبابًا عديدة للإصابة بسرطان تجويف الفم، أبرزها:

- وجود استعداد وراثي للإصابة.

- الإصابة بفيروس نقص المناعة البشرية "الإيدز".

- تعاطي المواد المخدرة.

- إصابات اللثة الناجمة عن أطقم الأسنان.

- الإصابة ببعض أمراض الفم، مثل التسوس.

وأشارت إلى وجود عادات خاطئة تزيد من خطر الإصابة بسرطان تجويف الفم، مثل التدخين وسوء نظافة الفم، وفقًا لموقع "روسيا اليوم".

قد يهمك أيضًا: حبوب الإفطار وسرطان الفم- دراسة توضح العلاقة بينهما

واختتمت إيريكا حديثها بتوضيح أن الوقاية من سرطان تجويف الفم ليست أمرًا مستحيلًا، بل يمكن تقليل خطر الإصابة به عن طريق:

- زيارة طبيب الأسنان كل 6 أشهر.

- الإقلاع عن التدخين.

- الاهتمام بنظافة تجويف الفم والأسنان.

- اتباع نظام غذائي صحي.

اقرأ أيضًا: الوقاية من سرطان الفم.. 5 نصائح تحميك من الإصابة به

فيديو قد يعجبك

محتوى مدفوع

أحدث الموضوعات