أكثر الكلمات انتشاراً

لم يتم العثور على نتائج البحث

إعلان

4 مشكلات صحية تؤثر على لون أسنانك

كتبت- ندى سامي:

06:31 م 17/10/2022
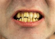
تغير لون الأسنان

تغير لون الأسنان

تابعنا على

يتغير لون الأسنان نتيجة عدم الاهتمام بنظافتها أو الإفراط في تناول الكافيين والتبغ، ولكن في بعض الحالات قد يكون تغير لون الأسنان علامة على مشكلة صحية يعاني من الشخص.

"الكونسلتو" يستعرض في التقرير التالي أبرز المشكلات الصحية التي قد تؤثر على لون الأسنان، وفقًا لـ "Health line".

الأسنان تتكون من الهيدروكسيباتيت أو فوسفات الكالسيوم البلوري، ويقوم الكالسيوم بدور مهم جدًا داخل الأسنان، إذا يحمي الأعصاب الحساسة بداخلها، وقد يتسبب فقدان الجسم للكالسيوم العديد من الأضرار للأسنان، مثل:

-هشاشة الأسنان.

-تكسر الأسنان.

-تجاوف الأسنان.

-التهابات اللثة.

مشكلات صحية تؤثر على لون الأسنان

1-تغير لون الأسنان

يؤثر نقص الكالسيوم على لون الأسنان بشكل غير مباشر، وذلك لأنه نقص الكالسيوم يتسبب في ضعف وتكسير مينا الأسنان ما يؤدي لترقق السن وبالتالي ظهور لون طبقة العاج الموجودة بالأسنان، فتظهر الأسنان باللون الأصفر.

2-فقدان الشهية العصبي

يعتبر فقدان الشهية العصبي أحد أنواع اضطرابات الطعام، المصاب به يعاني من هاجس الحصول على الوزن المثالي للجسم والتخلص من الوزن الزائد، ما يدفع المريض للتقيؤ بعد تناول الطعام، وهو أحد الاضطرابات النفسية المتعارف عليها.

عندما يتقيئ الشخص الطعام بشكل مستمر، قد يتسبب ذلك في صعود أحماض المعدة مجددًا للفم، وتراكمها في الفم قد يتسبب في اصفرار الأسنان.

3-ارتجاع المرئ

ارتجاع المرئ مشكلة صحية تحدث نتيجة ارتداد أحماض المعدة مجددًا عبر المرئ، يتسبب الارتجاع في الكثير من الأعراض ومنها اصفرار الأسنان نتيجة تراكم البكتيريا في الفم والتي تؤثر على صحة الفم والأسنان بشكل عام.

4-سوء صحة الفم والأسنان

قد يكشف لون الأسنان الصفراء إلى سوء صحة الفم والأسنان حتى مع الاهتمام بغسيل الأسنان، وقد ينتج ذلك نتيجة ضعف المناعة بالجسم ما يتسبب كثرة العدوى باللثة أو الأسنان، وقد يعرض ذلك لكثير من المخاطر مثل نزيف اللثة وألم الأسنان والأسنان الضعيفة وتغير لون الأسنان وانبعاث رائحة كريهة من الفم.

اقرأ أيضًا: أطعمة تغير لون الأسنان.. وأخرى تحافظ على بياضها

كيف نحافظ على لون الأسنان؟

بجانب قلة نظافة الأسنان والأمراض السابقة قد يكون للون الأسنان المائل للصفرة علاقة بالجينات، إذ تلعب الوراثة دورًا في سطوع وسماكة المينا مما قد يكون له تأثير كبير على اللون الظاهر للأسنان، ولكن بشكل عام يمكن الحفاظ على لون الأسنان من خلال القيام بما يلي:

-غسل الأسنان صباحًا ومساءًا وبعد كل وجبة.

- الاهتمام باستخدام خيط الأسنان بجانب الفرشاة للحصول على النظافة المطلوبة ما يقلل فرص تراكم البكتيريا التي تؤثر على لون الأسنان.

- الاهتمام بالأكل الصحي الذي يحتوي على الفواكه والخضروات.

- تجنب الكافيين والتبغ وكل المأكولات والمشروبات التي تؤثر على صحة الأسنان ولونها.

فيديو قد يعجبك

محتوى مدفوع

أحدث الموضوعات

الأخبار المتعلقة