للمدخنين.. 5 طرق طبيعية لتوريد اللثة السوداء
كتبت - أمنية قلاوون:
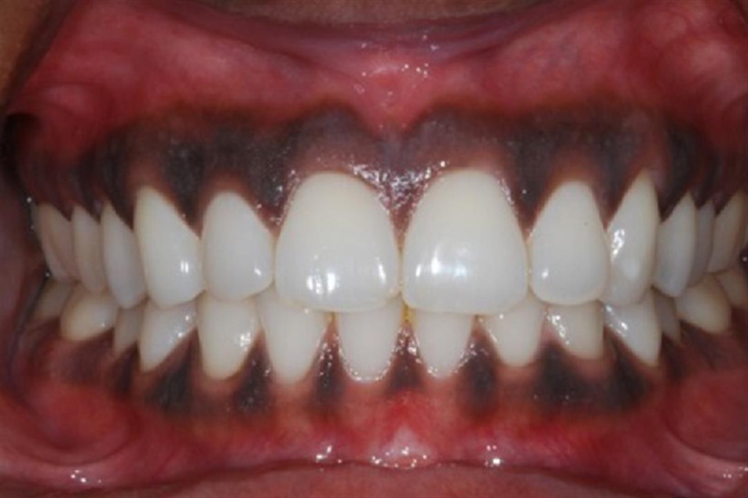
توريد اللثة
تتميز اللثة بلونها الوردي، ولكنها في بعض الأحيان تصبح داكنة للعديد من الأسباب، بعضها يتعلق بالعادات الخاطئة، مثل التدخين، وقد تكون ناتجة عن مشاكل صحية، أبرزها زيادة مادة الميلانين.

اقرأ أيضًا: التدخين يضر الفم والأسنان.. هكذا تقلل آثاره
وهناك طرق طبيعية يمكن الاعتماد عليها، لاسترداد لون اللثة الطبيعي مرة أخرى، يستعرضها "الكونسلتو" في التقرير التالي، وفقًا لموقعي "Only my health" و"Medical news today".
قد يهمك: 3 ألوان غير طبيعية للثة.. علام تشير؟
طرق طبيعية لتوريد اللثة
1- زيت الكافور
يتميز زيت الكافور بخصائصه المضادة للبكتيريا، التي تساهم في علاج العدوى المسببة للالتهاب اللثة، الذي يؤدي بدوره إلى تغير لونها إلى الأسود.
أما عن طريق استعماله في هذا الغرض، كل ما عليك فعله هو غمس قطنة نظيفة في زيت الكافور وتمريرها على اللثة الداكنة.
قد يهمك أيضًا: نصائح بسيطة للحصول على لثة صحية وردية اللون
2- الميرمية
تلعب عشبة الميرمية دورًا كبيرًا في التخلص من اللثة السوداء، إما عن طريق نقع أوراقها في الماء الساخن وتناوله أو مضمضة الفم به لمدة تتراوح بين دقيقتين و3 دقائق.
اقرأ أيضًا: 6 أسباب وراء ظهور لون أسود على اللثة
3- القرنفل
يشتهر القرنفل بقدرته على علاج مشاكل الفم، ويرجع السبب إلى محتواه العالي من مضادات الأكسدة، التي تساعد على مكافحة البكتيريا المسببة لتسوس الأسنان والتهاب اللثة.
وقد يساهم القرنفل أيضًا في تفتيح اللثة الداكنة، عن طريق وضع مسحوقه عليها باستمرار، حتى تستعيد لونها الطبيعي.
قد يهمك: فوائد القرنفل للفم.. هل يساعد على علاج التهاب اللثة؟
4- الشاي الأخضر
يحظى الشاي الأخضر بشعبية كبيرة في الطب التقليدي، نظرًا لاحتوائه على مضادات أكسدة قوية، ثبت أنها تقضي على البكتيريا الضارة، لذا قد يكون مفيدًا في علاج اللثة الداكنة.
اقرأ أيضًا: التهاب اللثة.. متى يستدعي زيارة طبيب الأسنان؟
5- زيت السمسم
قدرة زيت السمسم على التخلص من بلاك الأسنان والرواسب الجيرية، ترشحه بالقوة ليكون من بين الطرق الطبيعية لتوريد اللثة، لأنها يساعد على إزالة السموم من الجسم.
وينصح بوضع القليل من زيت السمسم على اللثة الداكنة يوميًا، للحصول على أفضل النتائج.
قد يهمك أيضًا: هل تشير بقع اللثة لمشكلة صحية؟
هل الطرق الطبيعية فعالة في علاج اللثة السوداء؟
- يجب على المريض أن يتحلى بالصبر، لأن العلاجات الطبيعية تستغرق وقتًا طويلًا، حتى تظهر النتائج.
- لا توجد أدلة علمية كافية تؤكد أن العلاجات الطبيعية فعالة في علاج اللثة الداكنة، لذلك ينبغي استشارة طبيب الأسنان، قبل الاعتماد على أحدهم.
علاج اللثة السوداء
يختلف علاج اللثة السوداء من شخص لآخر، حسب السبب، كما هو موضح فيما يلي:
- يعتمد علاج اللثة الداكنة بسبب التهاب اللثة أو مرض أديسون على الأدوية.
- لا بد من اللجوء إلى طبيب الأسنان، إذا كان التدخين هو سبب تغيير لون اللثة، مع ضرورة الإقلاع عن شرب السجائر.
يحذر أطباء الأسنان من توريد اللثة بالاعتماد على عمليات التجميل، لأنها قد تصيب أنسجتها بالتليف.
اقرأ أيضًا: 5 مكملات غذائية تحمي لثتك من الالتهاب والنزيف